こんにちは、院長のたかのです。冬はもともとある腰痛の症状が強くなりやすい時期ですが、その症状に隠れた危険な腰痛もあります。今回は受診すべき腰痛のポイントについてお話をさせていただきますね。
12月に入り、朝晩の冷え込みが一段と強くなってきましたね。体
外の寒さと室内の暖かさによる温度差も、
そんな中で、「いつもの腰痛だから」と湿布や自己流のストレッチ
実は、腰痛の中には“放っておくと取り返しのつかないタイプ”が
今
☑原因とメカニズム
「腰痛」とひとことで言っても、原因は実にさまざまです。多くの
しかし、中には「待ってはいけない腰痛」があります。特に注意し
それは① 腰椎圧迫骨折 と ②内科疾患(臓器原因)の腰痛 です。
まず、①腰椎圧迫骨折について。これは転倒や尻もちなどのケガで起
やっかいなのは、このタイプの骨折が「普通の腰痛」と非常によく
次に、②内科疾患由来の腰痛。これは一見、整形外科の症状に見えて
亀背変形
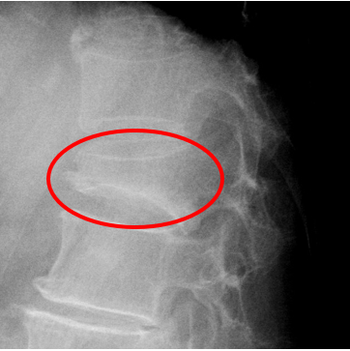
圧迫骨折のレントゲン
がんの骨転移
☑日常で気をつけたいサイン
以下の項目のうち、いくつかに思い当たる方は要注意です。単なる
1.起床時の痛み
朝、布団から起き上がろうとすると強い痛みがあり、なかなか身体
2.寝返り時の痛み
夜中に寝返りを打つたびに目が覚めるほど痛い。仰向けでは眠れず
3.痛みの程度や頻度が増している
1ヶ月前よりも痛みが強くなっている、または痛みの頻度が明らか
4.お風呂の後も痛い
通常、筋肉由来の腰痛は入浴や温めで楽になるもの。湯上がり後も
5.65歳以上の女性で痛みが続いている
骨密度が低下しやすい年代。長く続く痛みは「いつの間にか骨折」
これらの症状がある方は、「なんとなくの腰痛」では済まされない
当院で早期発見し早期治療を開始した腰椎圧迫骨折のギプス固定
☑まとめ
医療の基本は「早期発見・早期治療」です。
圧迫骨折であれば、早期に治療を始めることで亀背変形を最小限に
内科疾患が原因の腰痛でも、早く見つける
また、今回ご紹介した2つのタイプ以外でも、長年続く腰痛や慢性
当院では、整形外科勤務経験を活かし、痛みを取るだけでなく体全
年末の忙しい時期こそ、ご自身の体をいたわるチャンスです。
「ずっと同じ腰の痛みがある」「なんとなく不安」という方は、放
